‹ voltar



“ ...HAVERÁ PESTES” (Mt 24,7) Doença neurológica bizarra aflige jovens canadenses

 

“Porquanto se levantará nação contra nação, e reino contra reino, e haverá fomes, e PESTES, e terremotos, em vários lugares.” (Mateus 24:7)

02 Janeiro 2022

Dezenas de jovens sem condições pré-existentes estão desenvolvendo sintomas de uma nova doença enquanto ativistas e familiares suspeitam de um encobrimento por parte do governo local.

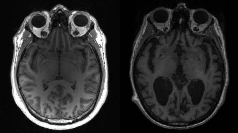
Um denunciante da Vitalité Health Network em New Brunswick disse ao The Guardian no domingo que os sintomas incluem alucinações, dificuldade de pensamento, mobilidade limitada, insônia, e perda rápida de peso. O governo local tem alegadamente lutado para rejeitar o número crescente de casos como Alzheimer ou outras doenças neurológicas incomuns fora dos idosos.

Embora o número oficial de casos registrados desde que a doença misteriosa foi reconhecida publicamente pela primeira vez no início da Primavera não tenha subido de 48, múltiplas fontes disseram ao The Guardian que cerca de 150 pessoas podem ter contraído a doença em rápida mutação. Ainda mais pessoas jovens requerem uma avaliação, e vários já morreram.

"Estou verdadeiramente preocupado com estes casos porque eles parecem evoluir tão rapidamente", disse a fonte ao outlet, reconhecendo que "devemos-lhes algum tipo de explicação".

Um dos elementos mais perturbadores da condição é o pouco que se sabe sobre a transmissão. Em pelo menos nove casos, cuidadores e outros em estreito contato com indivíduos doentes desenvolveram sintomas semelhantes aos da parte enferma, sugerindo que a doença não só se espalha prontamente entre indivíduos sem parentesco, mas que pode haver fatores ambientais envolvidos. Alguns compararam a doença com a doença de Creutzfeldt-Jakob, uma doença cerebral fatal causada por proteínas deformadas chamadas prions, embora o exame feito não tenha comprovado casos da doença de Creutzfeldt-Jakob.

A província tem lutado para manter os casos em segredo - o aglomerado de casos só se tornou público no ano passado quando um memorando foi divulgado aos meios de comunicação social, e o governo tem insistido que o próprio "aglomerado" é meramente o resultado de "diagnósticos incorretos" que agrupam doenças não relacionadas. Os funcionários declararam em Outubro que oito casos fatais se deviam a "patologias conhecidas e não relacionadas", e não a uma doença partilhada e desconhecida. Um relatório epidemiológico publicado em Outubro supostamente excluía qualquer exposição alimentar, comportamental ou ambiental que pudesse explicar o problema.

No entanto, outro cientista de saúde pública que procurou permanecer anônimo sugeriu que o governo estava a encobrir algo. "O fato de termos aqui um espectro mais jovem de pacientes argumenta muito fortemente contra o que parece ser a posição preferida do governo de New Brunswick - que os casos neste grupo estão a ser erroneamente agrupados".

Tim Beatty, cujo pai Laurie morreu com sintomas semelhantes apenas para ser declarado postumamente um caso de Alzheimer, está a tentar que os restos mortais do seu pai sejam testados para neurotoxinas, incluindo β-Metilamino-L-alanina (BMAA), um suspeito desencadeador da doença. A economia local depende fortemente da pesca da lagosta, e o químico pode ser encontrado em altas concentrações na lagosta, de acordo com um estudo citado pelo The Guardian. Beatty e outras famílias que perderam entes queridos devido à misteriosa doença especularam que a recusa do governo em reconhecer a possível existência do cluster da doença na região poderia ser motivada política ou economicamente.

"Se um grupo de pessoas quisesse criar teóricos da conspiração, então o nosso governo tem feito um trabalho maravilhoso na sua promoção", disse Beatty ao The Guardian. "Estarão eles apenas a tentar criar uma narrativa para o público que esperam que absorvamos e nos afastemos? Eu simplesmente não a compreendo".

Fonte: https://www.rt.com/news/545015-new-brunswick-cognitive-decline-epidemic/

Busca


Segunda-feira, 24 de Junho de 2024










Mulher Vestida de Sol